Najnovije
Vesti
Showbiz
Sport
Viralno
Lifestyle
Svet
Glossy
Najnovije vesti
Vesti
Politika
Društvo
Hronika
Ekonomija
Beograd
Kosovo
Sudbine
Showbiz
Rijaliti
Zvezde
Holivud
Kviz
Sport
Fudbal
Košarka
Tenis
Ostali sportovi
Navijači
Showtime
Viralno
Bizar
Svaštara
Tiktok
Lifestyle
Život
Stil
Ljubav
Zdravlje
Hi-Tech
Kultura
Svet
Planeta
Globalno zagrevanje
Hrvatska
BiH
Crna Gora
Makedonija
Auto
Glossy
Debelo crevo - Strana 2
2
UŽAS
TAMARA TVRDI DA JOJ JE DOKTOR GREŠKOM ISEKAO DEBELO CREVO: Žalila sam se na bolove, "A NISU TE USTA BOLELA"
1
bizarno
BOLEO GA JE STOMAK, A ONDA SU VIDELI KOLIKU JE STVAR NABIO U SEBE: Lekari su morali da smisle nešto ORIGINALNO
10
OPREZNO S TIM
OVO SU PRVI ZNACI DA VAM OPAKA BOLEST NAPADA CREVA: Ove simptome MNOGI ZANEMARUJU, 1 je kao kod PREHLADE
bolest
ŠTA JE TO KRONOVA BOLEST I PO ČEMU SE ODLIKUJE? Ovo su PRVI SIMPTOMI koji se jave, nije nimalo NAIVNO !
TUGA
DANIJELINA MAJKA JE VRISNULA, UMIRALA JE NA NJENE OČI: Retka bolest OKRUTNO JU JE UBILA U SNU
5
i miris i ukus
REŠENA MISTERIJA NEGATIVNOG EFEKTA KAFE: OVO su svi benefiti konzumacije našeg OMILJENOG NAPITKA
2
otkrivamo
NAPITAK OD CRVENE PAPRIKE JE ODLIČAN ZA VAŠE DEBELO CREVO: Popijte ga na eks već danas (RECEPT)
DA LI JE MOGUĆE?
IZGLEDA KAO ANĐEO, ALI JE MNOGIMA POSTALA NAJODVRATNIJA ŽENA NA SVETU: Svojom odlukom ZAPREPASTILA sve!
zdravlje
MORATE REAGOVATI AKO OSETITE BOL U PREPONAMA! Dr Jovićević upozorava, to može biti signal ozbiljne bolesti
vatikan
VATIKAN O PAPINOM ZDRAVSTVENOM STANJU: Franja se oporavlja nakon TEŠKE OPERACIJE!
7
7
UPRAV SAOPŠTENO
PAPA FRANJA PRIMLJEN U BOLNICU: Zakazana mu je operacija
1
25
KARCINOM
U SRBIJI JE RAK DEBELOG CREVA VODEĆI UZROK SMRTI MEĐU MALIGNITETIMA: Svake godine oboli više od 4.500 ljudi
131
OBRATITE PAŽNJU
PRVI SIMPTOM RAKA DEBELOG CREVA: Od ovog sve kreće, NIKAKO NIJE DOBRO ako primetite ovakvu promenu u STOLICI!
2
10
HITNO
PAŽNJA! OVO SU GLAVNI SIMPTOMI RAKA DEBELOG CREVA! Ako primetite neki od njih, ODMAH zakažite pregled!
1
MEDICINA
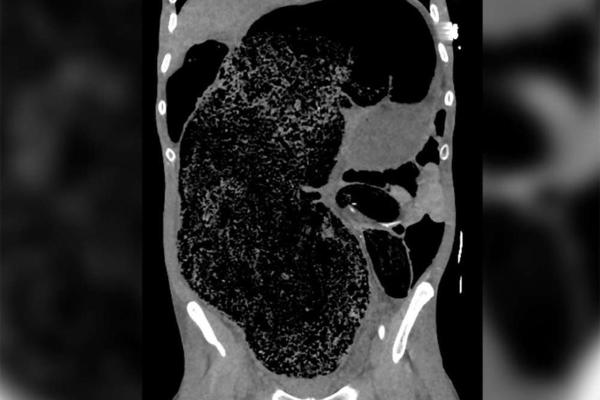
OVO JE SNIMAK REVOLUCIJE U MEDICINI! Naučnici ubacili NANOROBOTA u debelo crevo, budućnost je upravo POČELA (VIDEO)
OPREZ
RAK CREVA - OVO SU SIMPTOMI, NE IGNORIŠITE IH I NEMOJTE SE SRAMITI: Ukoliko ovo primetite, trk kod lekara!
14
29
ozbiljna situacija
DRAMA U HAGU! RATKO MLADIĆ KRITIČNO: Posle operacije krenule komplikacije, stanje je vrlo ozbiljno!
21
divna vest!
MAJCI I SINU SU U ISTO VREME OTKRILI RAK! Četiri godine kasnije SE DESILO NEŠTO ŠTO NIKO NIJE OČEKIVAO! (VIDEO)
10
24
alarmantno
SKORO UMRO ZBOG OGROMNOG IZMETA koji mu se gomilao u crevima 3 DANA!
OPORAVLJA SE
ČIM SAM UŠAO U BOLNICU ZAPEVAO SAM: Ispovest Bore Drljače iz BOLNIČKE POSTELJE! Bio sam uplašen od PODMUKLE BOLESTI
19
17
saznajemo!
OTKRIVAMO OD ČEGA ZAISTA BOLUJE BORA DRLJAČA: Ovu informaciju je čekala cela Srbija!
genijalno
SVAKO VEČE JE PILA OVO PRED SPAVANJE! Skroz je očistila DEBELO CREVO!
16
neobično
NAPRAVITE LAKO MED OD BUNDEVE: Podiže imunitet, odličan za DEBELO CREVO ali i mršavljenje!
25
ipak je moguće
DEVET ORGANA BEZ KOJIH MOŽETE DA ŽIVITE! Ako mislite da je NEMOGUĆE, pažljivo PROČITAJTE TEKST
6
22
SPAS
OVO POVRĆE UKLANJA MAST IZ JETRE I U POTPUNOSTI ČISTI DEBELO CREVO! Za par dana ćete biti PREPOROĐENI!
9
ŽENA GA JE PRIJAVILA
Ukoliko počnete da pijete OVAJ NAPITAK pre odlaska u krevet, ispraznićete debelo crevo! SVE ĆE IZAĆI
8
RECEPT
PROVERENO DELUJU: Ovo je prirodni lek za POLIPE NA CREVIMA!
12
109
OBRATITE PAŽNJU
OPREZ! OVO SU PRVI SIMPTOMI RAKA DEBELOG CREVA: Ako se otkrije na vreme, ova OPAKA bolest je IZLEČIVA!
1
SJAJNO
ROBERT PROSINEČKI NAPUSTIO BOLNICU: Gotova je drama koju proživljava još od novembra!
OPET
PROSINEČKI OPET U BOLNICI: Mora na novu operaciju!
5
NIJE ZA ŠALU
SAMO JEDAN POGLED NA VAŠU STOLICU ĆE VAM REĆI OD ČEGA BOLUJETE: Ako je OVOG OBLIKA I BOJE, odmah se obratite LEKARU
2
34
Žuti o zdravlju
PUKLO MI JE DEBELO CREVO, ALI KAKVE TO VEZE IMA: Prosinečkom možete uzeti šta god, samo mu u cigare ne dirajte!
3
11
Reagujte odmah
Osam kilograma OTROVA vam LEŽI U STOMAKU: Rešite ga se na OVAJ način dok ne izazove OPAKU BOLEST!
UMRO U 29-OJ GODINI
Čudna priča o muškarcu koji je obavljao nuždu samo jednom mesečno
2
17
jedva preživeo
Satima na operacionom stolu: Zvezda Kursadžija prevezen u bolnicu i hitno operisan! (FOTO)
Prethodna
2 / 2
Sledeća
Prva
Prethodna
1
2
Espreso.co.rs
Mondo inc.
Install