alarmantno
SKORO UMRO ZBOG OGROMNOG IZMETA koji mu se gomilao u crevima 3 DANA!
U hitnu je došao zbog neizdrživih bolova u abdomenu
Muškarac (53) prijavio se u jednu australijsku bolnicu zbog neuobičajenog problema. Naime on tri dana nije mogao obaviti veliku nuždu te je zbog zatvora počeo osećati ozbiljne zdravstvene probleme.
U hitnu je došao zbog neizdrživih bolova u abdomenu koji su se postupno pojačavali kroz ta tri dana ali i zbog mučnine, piše IFL Science.
Još alarmantniji simptom bio je gubitak osećaja u jednoj nozi te paraliza - već 24 sata je nije mogao ni pomaknuti. U tom udu nije bilo opipljivog pulsa te je noga bila hladna na dodir, izvestili su lekari o slučaju za BMJ Global Health.
Pregledom njegovog zdravstvenog kartona, lekari su utvrdili da ne uzima nikakve lekove, nije imao povećan rizik od kardiovaskularnih bolesti te nema značajniju istoriju bolesti. Zaključak? Ispostavilo da je naprosto trebao obaviti veliku nuždu, i to što pre.
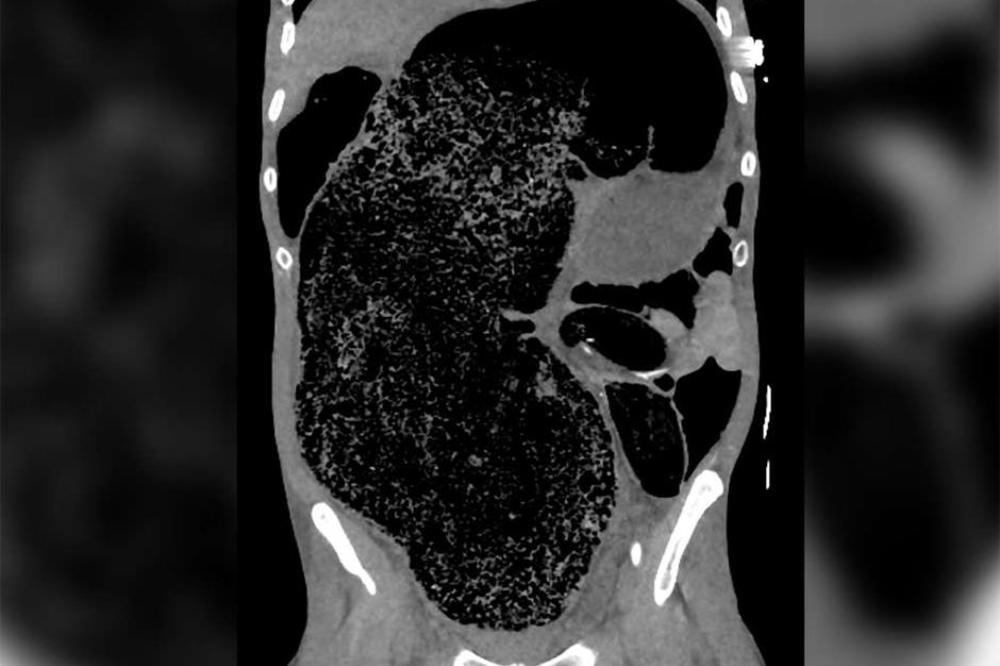
Rektalnim je pregledom utvrđeno kako ima formiranu čvrstu stolicu, a pregled trbuha ukazao je na masovno 'zbijanje fekalija', po život potencijalno opasan sindrom povećanog pritiska u abdomenu.
Lekari su obavili i skeniranje, nakon čega su uvideli da je stolica toliko rastegnula njegovo debelo crevo da je ono izvršilo pritisak na ilijačnu (bočnu) arteriju.
Taj pritisak uzrokovao je bol u nozi, kao i paralizu. Zbog ozbiljnosti njegovog slučaja (pokazivao je i znakove oštećenja bubrega i metaboličku acidozu - gde bubrezi prestaju uklanjati kiselinu iz tela), hitno je odveden na operaciju kako bi se uklonio zaostatak fekalne materije i oslobodio pritisak u trbuhu.
- Izvedeno je značajno uklanjanje fekalija u volumenu od oko 2 litre - napisao je tim u svom izveštaju.
Nakon što mu je uklonjena ta ogromna količina izmeta, data mu je terapija protiv zatvora. Četiri dana kasnije uspeo je napustiti jedinicu intenzivne nege, premda mu je trebalo još 13 dana pre nego što je ponovno mogao hodati. Lekari nisu sigurni što je bio uzrok njegovog stanja, no ističu da je ono bilo zaista opasno po život.
Kada treba ići lekaru?
- Najnormalnije je kad neko ide jedan do dva puta na dan, no za nekoga je normalno svaki drugi dan, za nekoga dva do tri puta na dan. Varijacije su vrlo individualne. Ipak, treba se zabrinuti ako čovek ne ide u WC tokom čitave nedelje te uz to oseća grčeve ili druge tegobe i to je sigurno u pitanju konstipacija - kazala je prof. dr. sci. Miroslava Katičić, specijalistkinja gastroenterologije. Dodaje kako se u takvim situacijama probavu najpre treba pokušati pobuditi ishranom.
- Minimum je da čovek veliku nuždu obavlja tri puta nedeljno. U tom smislu treba malo pripaziti na ishranu. Za pobuđivanje probave dobra su vlakna, naročito celuloza, voće, semenke. Vlakna možete dati i s probioticima koji imaju i prebiotike. Posebno je dobro da pacijenti jedu grubo mleveni lan. To su mere koje u velikom broju slučajeva normalizuju stolicu - pojasnila je dr. Katičić.
Ističe kako lekari nastoje najprje prirodnim metodama pomoći kod zatvora, pa su tako skloni preporučiti i vode obogaćene magnezijumom.
- Već 2 decilitra takvih voda tokom jutra dosta pomogne ljudima. Velika pomoć su i kompoti, s tim da se pojede voće i popije tečnost. Ukoliko takve metode nisu pomogle, tada se okrećemo medikamentima - zaključuje.
Bonus video:
(Espreso.co.rs/24sata.hr)
Uz Espreso aplikaciju nijedna druga vam neće trebati. Instalirajte i proverite zašto!




