Najnovije
Vesti
Showbiz
Sport
Viralno
Lifestyle
Svet
Glossy
Najnovije vesti
Vesti
Politika
Društvo
Hronika
Ekonomija
Beograd
Kosovo
Sudbine
Showbiz
Rijaliti
Zvezde
Holivud
Kviz
Sport
Fudbal
Košarka
Tenis
Ostali sportovi
Navijači
Showtime
Viralno
Bizar
Svaštara
Tiktok
Lifestyle
Život
Stil
Ljubav
Zdravlje
Hi-Tech
Kultura
Svet
Planeta
Globalno zagrevanje
Hrvatska
BiH
Crna Gora
Makedonija
Auto
Glossy
Detalj
zavšrile su zbog...
PUKLA BRUKA! DOŠLA DA VIDI BEBU SVOJE NAJBOLJE DRUGARICE: Čim je ugledala 1 detalj, prekinula svaki kontakt sa njom
neverovatno
Da li ste videli skriveni detalj u preponama na crtežu? Rešava 500 godina staru misteriju Leonarda da Vinčija!
da li ste znali?
Putnici masovno ostaju na aerodromu zbog nepoznatog pravila: Pasoš ne može da izgleda kako god, ovo je obavezno!
bitno
OVAJ DETALJ NA BANANI OTKRIVA DA LI ĆE VAM DUGO TRAJATI! Kad odete u radnju, ne gledajte u BOJU KORE, već u...
poseban je
Najlepši kafanski grašak u Srbiji: Tajna je samo u ovom 1 sastojku, on menja kompletan ukus!
vidite li...
NA OVOJ PORODIČNOJ FOTOGRAFIJI KRIJE SE NEŠTO JEZIVO: Retko ko primećuje o čemu se radi! (FOTO)
POGLEDAJTE!
Gotovo svaka kuća ga ima, a katastrofa je: Detalj koji otkriva neukus i odmah asocira na nemaštinu
NEVEROVATNO!
Da li vam je promakao moćan detalj Jelene Đoković? Sve se videlo u trenutku kad je Novaka ispratila na meč!
NEVERICA
Trampova unuka pokazala dedin luksuzni avion, pa... Zbog jednog šok detalja ceo svet plače od smeha (VIDEO)
OPALA
Srbi nemaju pojma za ovo, a ima posebnu namenu: Evo čemu stvarno služi džepić na ženskim gaćicama
UŽASNO
Uzela je dečku telefon i pogledala poruke: Čim je pročitala prvu, slomila se, suze su same potekle
hit
Videla vulgarni detalj na snajinoj venčanici, pa odmah odreagovala: O potezu ove svekrve bruji internet, neviđeno
1
324
pažnja
Srbija je skočila zbog detalja oko vrata Novaka Đokovića: Dok drugi misle da je provokacija, on jasno pokazao ko je
11
POGLEDAJTE!
U toku je velika potraga za Markom Nikoličem iz Niša: Oglasili se iz niške policije
56
SVAČEGA IMA
SVIMA OVO IZGLEDA KAO OBIČAN TANJIR SA HRANOM, ALI ISTINA JE SKROZ DRUGAČIJA: Kad vidite 1 detalj, ŠOKIRAĆETE SE
prevara
PETRA JE PREKO OVE FOTOGRAFIJE VIDELA DA JE DEČKO VARA: Posle INTIMNOG ODNOSA na krevetu je ostalo... (FOTO)
šok
MLADA OBUKLA VENČANICU, PA POGLEDALA ISPOD HALJINE: Kad je ovo UGLEDALA DOLE, počela da RIDA NA SAV GLAS
KVIZ
DETALJ IZ SLAGALICE KOJI VAM JE MOŽDA PROMAKAO: Zbog njega je nastala PRAVA BURA NA MREŽAMA
ŠOK
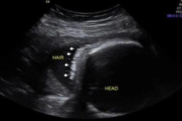
MAJKA SE SABLASNULA KADA JE VIDELA OVU TAČKU NA ULTRAZVUKU: Čim su joj lekari otkrili ŠTA JE, pala je u ŠOK STANJE
27
KAKO NAM JE PROMAKLO?!
EVO ZAŠTO JE USTVARI KEVIN OSTAO SAM U KUĆI ZA PRAZNIKE: Ovaj DETALJ je svima promicao godinama vreme je da SAZNATE
paŽnja
VIDEO JE OVAJ DETALJ NA TELU SVOJE ZGODNE ŽENE I VIŠE NIKAD NIJE IMAO SE*S SA NJOM: Svi su bili u NEVERICI, haos
34
KAKVA PRIČA
POSLALA JE MUŽU SLIKU, A ZBOG DETALJA NA NJOJ, ODMAH JE ZATRAŽIO RAZVOD BRAKA: Ne želim više da čujem za tebe
KAKVA PRIČA
SEĆATE LI SE ČUVENE BOŽEN: Njena smrt došla je iznenada, a 1 detalj iz njenog života ŠOKIRA, još uvek je misterija
vruće!
SRPSKA PEVAČICA OBUKLA PROVIDNU HALJINU: Bukvalno se vidi svaki DETALJ na GOLOM telu, da li je realno? FOTO
saznajte
SAMO JEDAN DETALJ NA ŽENSKOM LICU NAJVIŠE PRIVLAČI MUŠKARCE, OTKRIVENO I KOJI: Stručnjaci dali jasno objašnjenje
ZANIMLJIVO
ZBOG SLIKE KOJU JE POSLAO, JE POSTAO BIVŠI: Čim je videla fotku, žena je istog sekunda znala da je vara, VIDITE LI?
MORATE ZNATI!
OVAJ DETALJ SA ZAJEDINČKE FOTOGRAFIJE OTKRIVA SVE: Saznajte da li vam je suđen RAZVOD
7
70
NEVERICA
MOMETALNO JE OSTAVIO ZBOG DETALJA SA SLIKE: Zbog SRAMNOG KADRA se razveo, VIDITE LI O ČEMU JE REČ? (FOTO
2
PRISETITE SE
OVAKO JE IZGLEDALA SVAKA KUHINJA U JUGOSLAVIJI: Svi gledaju u DETALJ na kredencu, internet GORI (FOTO)
2
ZAGLEDAJTE SE
DOBRO SE ZAGLEDAJTE U MONA LIZU: Da li vas OVAJ DETALJ na njoj pomalo PLAŠI? (FOTO)
18
149
NAJSTARIJI PAMTE
OVAKO JE IZGLEDAO SVAKI STAN U JUGOSLAVIJI: Svi gledaju u DETALJ pored troseda, internet GORI (FOTO)
KO BI REKAO
NIKO NE GLEDA U OVO KADA KUPUJE ULJE A MNOGO JE VAŽNO: Dobro obratite pažnju
UŽAS
ANASTASIJINA FOTOGRAFIJA IZ DETINJSTVA KRIJE NEŠTO JEZIVO: Zbog 1 detalja na njoj se PRESTRAVILA (FOTO)
JEZIVO
PRIMETIO 1 STVAR U HODNIKU SVOJE LUKSUZNE ZGRADE PRE ZEMLJOTRESA, PA UPOZORIO KOMŠIJE: Nisu reagovali, sad su MRTVI
SJAJNO
IZABERITE JEDAN SIMBOL SA SLIKE: Otkriće šta vas čeka U BUDUĆNOSTI, preciznije nego što mislite
16
PRIMETILI STE?
PROCURIO SNIMAK TESLINE SAHRANE KOJI JAVNOST NIJE VIDELA: Na njemu se sve vidi, a o jednom detalju SVI PRIČAJU
15
OBRATITE I VI PAŽNJU
SVI BRUJE O ONOME ŠTO SE DESILO NA SAHRANI NIKOLE TESLE: Isplivao snimak, mnogima je TO PROMAKLO (VIDEO)
SAD JE PROGANJA!
ANASTASIJINA SLIKA IZ DETINJSTVA JE KRILA NEŠTO JEZIVO: Zbog 1 detalja na njoj je PREMRLA OD STRAHA (FOTO)
ŠTA JE OVO?!
ŠTA RADIŠ BRE TO, ČIČA: Napravila je selfi, a na ogledalu iza on je radio NEŠTO ODVRATNO (FOTO)
NEVEROVATNO!
DETALJ NA STAROJ FOTOGRAFIJI LEDI KRV U ŽILAMA: Majka je PRETRNULA kada je videla šta je na NJOJ (FOTO)
neverovatno!
DETALJ NA FOTOGRAFIJI DEVOJČICE ĆE VAS TOTALNO ZBUNITI: Primećujete li NEŠTO ČUDNO?! (FOTO)
1
7
Jeste li znali
DETALJ SA LEČIĆEM SRBIJA NIKADA NIJE SAZNALA: Ovo je suva istina o Dari Džokić
4
DA LI STE ZNALI?
TESLA SE NIJE ZVAO NIKOLA: Izašao ŠOK DETALJ o kojem će brujati ceo svet
JEZIVO!
NJENA SLIKA IZ DETINJSTVA JE 17 GODINA KRILA JEZIVU STVAR: Nije ni znala ko je IZA NJE (FOTO)
5
24
vredno pročitati
OVAJ DETALJ IZ BIOGRAFIJE MICE TROFRTALJKE NIKO NIJE ZNAO: Pojma nismo imali DA JE OVO RADILA, pa sada se SVE MENJA
5
ŠOKANTNO
NA TELU PRINCEZE DAJANE NAKON SMRTI USTANOVLJENO JE OVO: Istraživači na klinici OSTALI BEZ REČI kada su videli
6
TESLA I MISTERIJE
SNIMAK SAHRANE NIKOLE TESLE KOJI DO SADA NIJE VIĐEN: Isplivao u javnost, a o jednom detalju SVI PRIČAJU! (VIDEO)
ZNATE LI?
SAMO PET ODSTO LJUDI NA SVETU MOŽE DA UOČI JEDAN DETALJ NA OVOM SNIMKU: Da li spadate u tu grupu? (VIDEO)
64
URNEBESNO
"TAKO JE KAD SE SIROMAŠNI OBOGATE" Žena poznatog milionera RAZBESNELA FANOVE jednom objavom (FOTO)
8
7
MAPA
LAJČAK O MAPI KOJA JE PODIGLA PRAŠINU: Evo šta je imao da kaže!
Prethodna
1 / 4
Sledeća
1
2
3
4
Sledeća
Zadnja
Espreso.co.rs
Mondo inc.
Install