Foto: Anadolija
Auuuuuu!
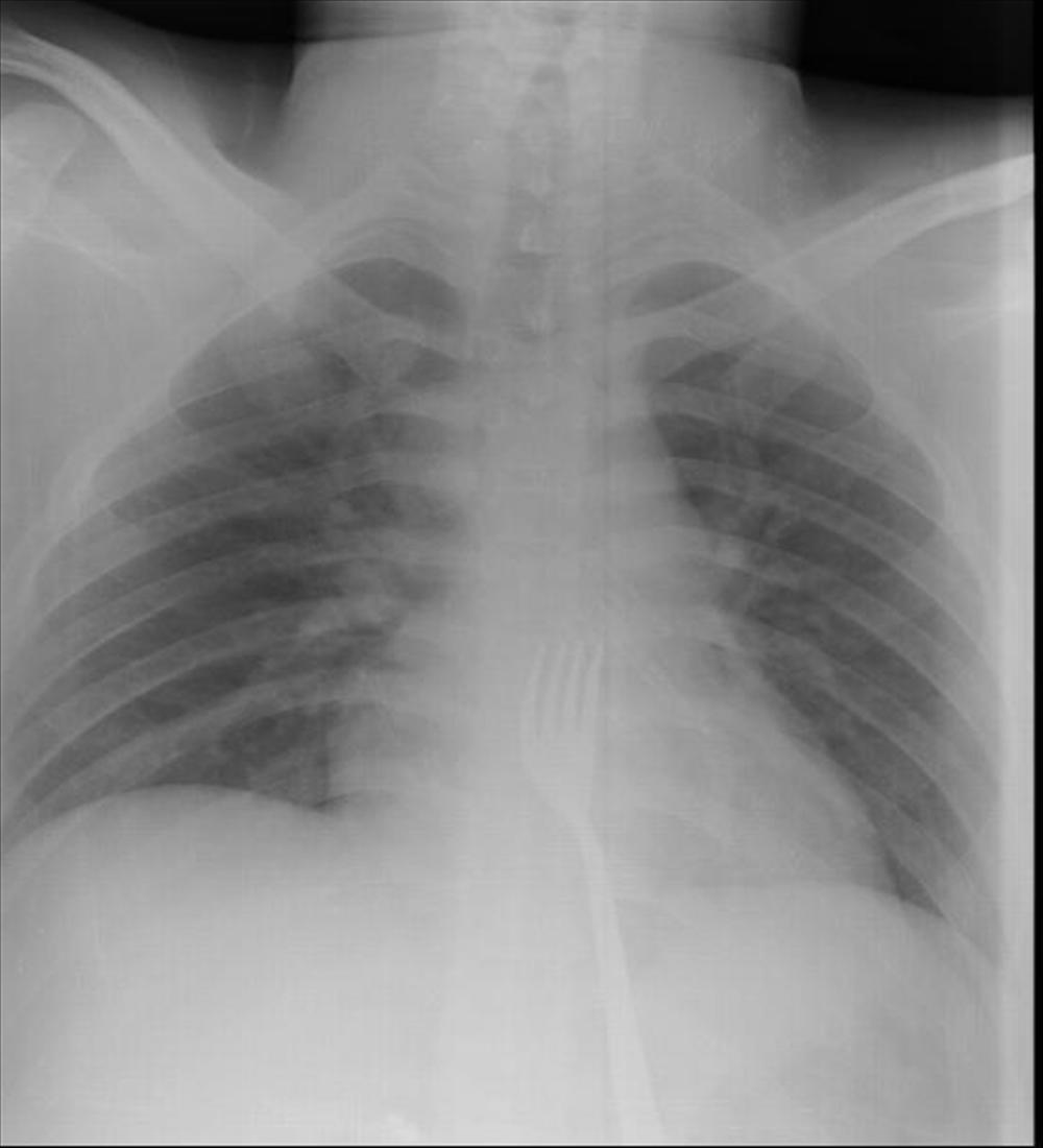
Lekari ovo nisu videli do sada: Lik je progutao viljušku! (FOTO)
Ljudi progutaju razne predmete, ali ovo je bio šok za lekare!
Objavljeno:
Na snimku je uočena metalna viljuška duga 15 centimetara, koju su lekari potom odstranili iz tela.

