ČUDO IZ KUHINJE
TVRDI DA JE UKLINILA KARIJES KOD KUĆE UZ POMOĆ OVE SMESE: Evo šta je stvarno istina
Jedan sastojak, promeniće estetiku vaših zuba!
Kako bi vaši zubi ostali što duže zdravi potrebno je da unosite dosta vitamina, hrane bogate vlaknima kao što su voće, orašasti plodovi i povrće.
Najbolje su jabuke, banane, brokoli i grašak.
Jedite žitarice od celog zrna. Sadrže puno vitamina B i gvožđa. Osim toga, žitarice sadrže magnezijum, mineral koji pomaže apsorbiranju kalcijuma i jačanju zubi.
Jedite više plodova mora ako želite dobiti više vitamina D iz vaših obroka.
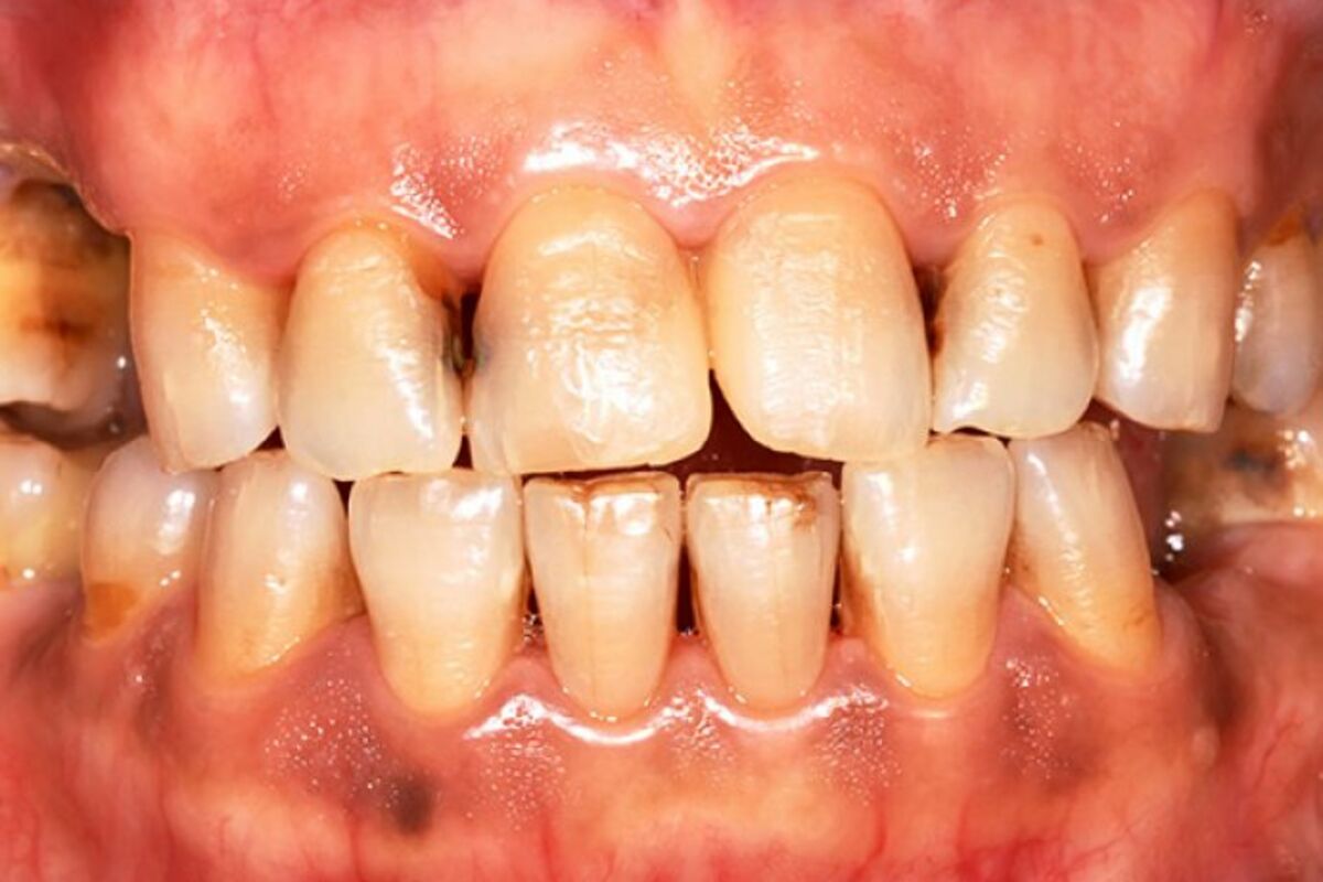
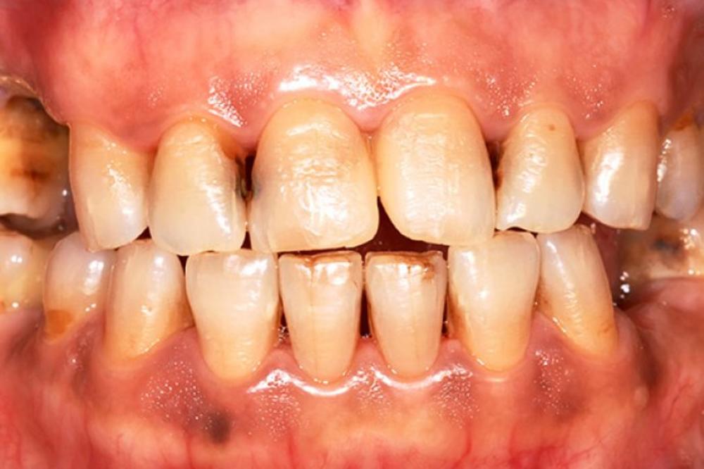
Iako se godinama provlače tvrdnje i lažna svedočenja ljudi koji su smesom od kokosovog ulja uklonili karijes, znajet da to nije istins.
Ne postoje naučni dokazi koje to pokrepljuju.
Pogledajte bonus video:
(Espreso.co.rs / Novi.ba)
Uz Espreso aplikaciju nijedna druga vam neće trebati. Instalirajte i proverite zašto!




