na ovo nije mislila
SKRIVALA JE TAJNU OD MAJKE MESECIMA: Onda je RENDGENSKI SNIMAK razotkrio sve! (FOTO)
Nije znala da će ovako saznati...
Sidni Alen iz Klirvotera u Floridi bradavice je probušila u junu, što joj je bio rođendanski poklon od sestre.
Ona i njena sestra odlučile su to da drže sakriveno od majke s obzirom na to da je "pomalo konzervativna po pitanju izgleda i mrzi tetovaže i pirsinge".
- Kako nisam često bez majice, mislila sam da će to biti laka tajna za čuvanje - otkrila je 20-godišnjakinja za BuzzFeed News.
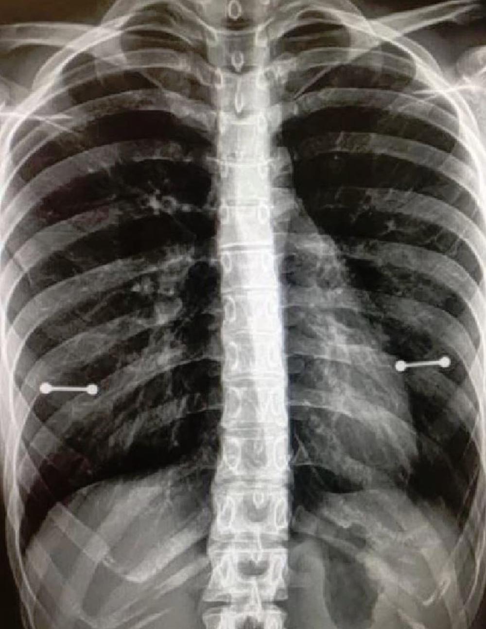
Ali na njenu žalost to se promenilo kad je prošle nedelje išla na rutinski rendgenski pregled, a sa sobom je povela majku.
Sidni pati od siringomijelije - retkog stanja koje može deo leđne moždine napuniti tečnošću - zbog čega redovno ide na preglede. Ali sad je bila prvi put otkako je probušila bradavice, a ono što nije znala je da se na rendgenu vidi metal.
- Mama mi je danas saznala da imam probušene bradavice - napisala je na Tviteru, ali objavu koja je postala viralna je obrisala.
"I moja mama tako je saznala", "Ova fotografija me baš nasmejala", tek su neki od komentara.
BONUS VIDEO:
(Espreso.co.rs/Index.hr)
Uz Espreso aplikaciju nijedna druga vam neće trebati. Instalirajte i proverite zašto!





