Kao Alien! Bukvalno!
Horor! Mladiću iz stomaka izvadili kosu, zube i kosti brata blizanca! (VIDEO)
Do ovakvog slučaja došlo je u ranoj fazi blizanačke trudnoće, kada je jedan fetus ušao u drugi putem pupčane vrpce i postao parazit
Objavljeno:
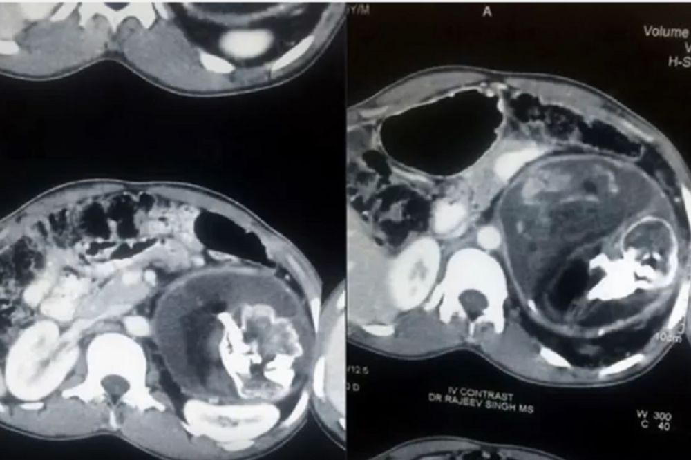
Lekari su jednom tinejdžeru iz Indije sa hroničnim bolovima u stomaku iz utrobe izvadili 2,5 kg tešku formaciju kostiju, kose i zuba
blizanca
Najgori otac ikada: Zgrozio je ceo svet s onim što je uradio svojoj bebi na fotografiji! (FOTO)
Nesuđeni brat blizanac Narendre Kumara (18) zadržao je pupčanu vrpcu kojom se „hranio“ i zbog čega se mladić osećao slabo i umorno
Kao iz druge dimenzije: 16 najneprikladnijih japanskih izmišljotina! (FOTO)
jedan fetus ulazi u drugi putem pupčane vrpce
fetus je u tehničkom smislu bio živ i rastao je zbog metaboličkih aktivnosti u njegovom telu.
uklonili smo masu deformisane bebe sa kosom, zubima, slabo razvijenom glavom, koščatom strukturom grudi i kičme
B92
Uz Espreso aplikaciju nijedna druga vam neće trebati. Instalirajte i proverite zašto!

