odlične vesti
SRBIJA UVELA PROGRAM ZA RANO OTKRIVANJE RAKA PLUĆA! Od ove TEŠKE BOLESTI, u našoj zemlji ljudi umiru na 2 SATA
Projekat je pokrenuo Pokrajinski sekretarijat za zdravstvo, a sprovodi ga Institut za plućne bolesti Vojvodine i to u vreme pandemije korona virusom
Srbija je prva država zapadnog Balkana koja je uvela skrining program za rano otkrivanje raka pluća, što je preduslov za bolje ishode lečenja, saopštilo je danas Udruženje "Punim plućima".
Kako se navodi, projekat je pokrenuo Pokrajinski sekretarijat za zdravstvo, a sprovodi ga Institut za plućne bolesti Vojvodine i to u vreme pandemije korona virusom.
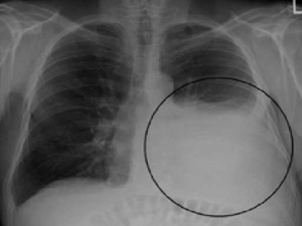
Skrining program podrazumeva detekciju karcinoma pluća pomoću niskodoznog skenera (LDCT), uz pomoć kojeg se se mogu prikazati manje tumorske senke, koje nije moguće videti uobičajenim dijagnostičkim postupcima (RTG).
Ovom metodom do sada je pregledano više od 1.200 pacijenata, a kod više od 30 otkriven je karcinom pluća koji je bio asimptomatski i najveći broj u početnom stadijumu, navodi se u saopštenju.
Naglašava se da je karcinom pluća vodeći uzrok smrtnosti od svih karcinoma kako u svetu, tako i u Srbiji, dok broj obolelih raste svake godine. Od ove vrste raka u Srbiji oboli gotovo 7.000, a na žalost umre više od 5.000 osoba. Praktično na svaka dva sata jedna osoba premine.
Jedan od najvažnijih preduslova uspešnog lečenja, je rano otkrivanje raka pluća, što u Srbiji to nije slučaj, jer se kod više od 70 odsto pacijenata otkrije u poslednjem stadijumu. Tada su šanse za preživljavanje gotovo iscrpljene.
Udruženje "Punim plućima" navodi da po oboljevanju od karcinoma Srbija zauzima 18. mesto u Evropi, međutim po smrtnosti smo na neslavnom 2. mestu.
Prema podacima Instituta za plućne bolesti Vojvodine, prosek starosti lečenih pacijenata od karcinoma pluća je 64 godine. Najmlađi pacijent imao je 21 godinu, a najstariji 94 godine. Muškarci prednjače u lečenju karcinoma pluća, pa je tako bilo 71 odsto muškarca i 29 odsto žene.
U poslednjih 10 godina bilo je samo devet odsto nepušača među obolelima, 27 odsto bivših pušača, a najviše je bilo aktivnih pušača, čak 66 odsto. Međutim, zabrinjava podatak da se ukupan broj obolelih povećao za 12 odsto, a broj obolelih žena za 55 odsto.
Rak pluća je u velikom broju slučajeva izlečiv ukoliko se otkrije na vreme, poručuje Udruženje "Punim plućima".
(Espreso)
Uz Espreso aplikaciju nijedna druga vam neće trebati. Instalirajte i proverite zašto!




