možete i sami
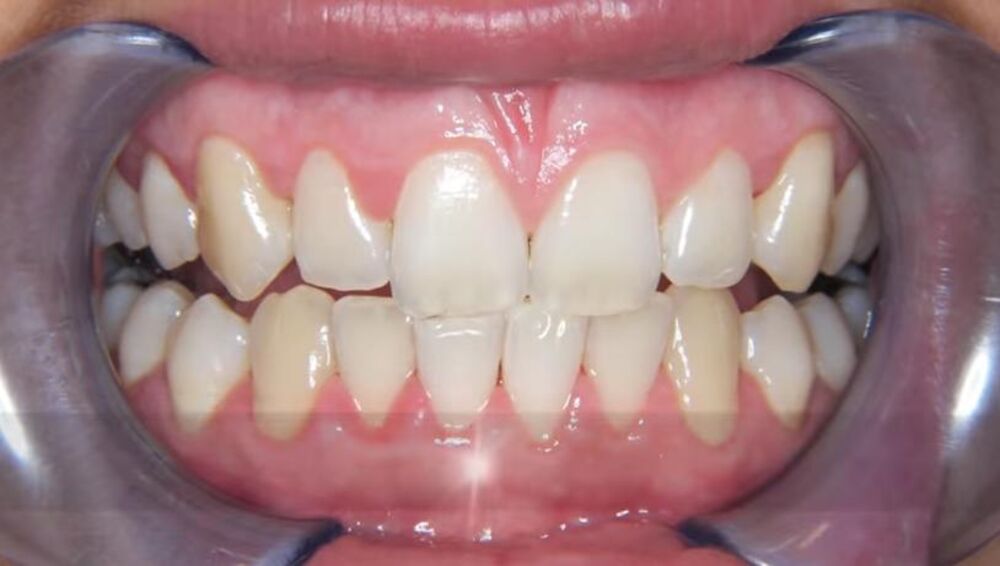
DA LI KARIJES MOŽE UKLONITI KOD KUĆE? Ovo je istina koju mnogi nisu znali
Uzmite svako jutro dve kašičice kokosovog ulja u usta i mućkajte nekoliko minuta, što duže, to bolje
Kako bi vaši zubi ostali što duže zdravi potrebno je da unosite dosta vitamina, hrane bogate vlaknima kao što su voće, orašasti plodovi i povrće.
Najbolje su jabuke, banane, prokulice i grašak.
Jedite celovite žitarice. Sadrže puno vitamina B i gvožđa. Osim toga, celovite žitarice sadrže magnezijum, mineral koji pomaže apsorbovanju kalcijuma i jačanju zubi.
Jedite više plodova mora ako želite dobiti više vitamina D iz vaših obroka.
Međutim, ukoliko na internetu vidite recept sa kokosovim uljem za izbeljivanje zuba, ne nasedajte.
Mnogi misle da pobleme sa karijesom mogu rešiti koristeći jedno od najzdravijih ulja.
Iako se po internetu tvrdi da je prirodno rešenje za zube, dokaza za to nema.
Ubuduće izbegavajte recepte koji to tvrde.
BONUS VIDEO:
(Espreso.co.rs)
Uz Espreso aplikaciju nijedna druga vam neće trebati. Instalirajte i proverite zašto!

