NE IGRAJTE SE SA ŽIVOTOM!
PRVI SIMPTOMI TEŠKE BOLESTI! Što se pre otkrije veće su šanse za IZLEČENJE
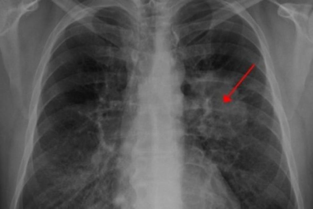
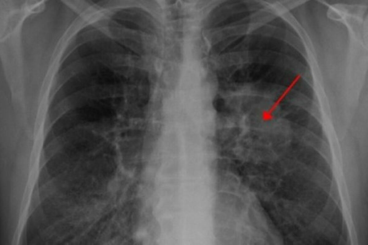
Osoba može da doživi teže simptome povezane sa karcinomom pluća
Rak pluća je fatalna bolest, ali ako se rano dijagnostikuje može ozbiljno da poveća šanse za izlečenje.
Kod ljudi sa karcinomom pluća simptomi se ne javljaju često dok stanje nije dostiglo kasniju fazu bolesti.
Međutim, neki ljudi mogu primetiti simptome za koje misle da su povezani sa manje ozbiljnom, akutnom bolešću.
Primeri ovih simptoma uključuju:
• gubitak apetita
• promene u nečijem glasu, kao što je promuklost
• česte infekcije grudnog koša, poput bronhitisa ili upale pluća
• dugotrajni kašalj koji može početi da se pogoršava
• kratak dah
• neobjašnjive glavobolje
• gubitak težine
• piskanje prilikom disanja
Osoba može da doživi teže simptome povezane sa karcinomom pluća.
Oni uključuju jake bolove u grudima ili kostima ili iskašljavanje krvi, piše Medik.rs.
(Espreso)
Uz Espreso aplikaciju nijedna druga vam neće trebati. Instalirajte i proverite zašto!




