ZDRAVLJE
BOLEST KOJA UNIŠTAVA MOZAK POSTAJE SVE ČEŠĆA, naučnici upozoravaju će biti BRUTALNO
Studija objavljena prošlog meseca u časopisu ''Scientific Repors'' bavila se podacima koje je prikupila japanska vlada u periodu od 2005. do 2014. godine o stanovništvu starijem od 50 godina kojima je dijagnistikofana Krojcfeld - Jakobova bolest (CJD)
Novo istraživanje iz Japana sugeriše da retka bolest koja uništava mozak, uzrokovana posebnim proteinima prionima, postaje sve češća - najverovatnije zbog starenja populacije.
Studija objavljena prošlog meseca u časopisu ''Scientific Repors'' bavila se podacima koje je prikupila japanska vlada u periodu od 2005. do 2014. godine o stanovništvu starijem od 50 godina kojima je dijagnistikofana Krojcfeld - Jakobova bolest (CJD). Istraživanjem je utvrđeno da je prosečna stopa ove bolesti, tokom tih godina, rasla za 6,4 procenata godišnje. Porast je najizraženiji bio među ljudima starijim od 70 godina.
''Naša sudija otkrila je porast apsolutnog broja smrtnih slučajeva, stope smrtnosti i stope incidencije povezanih sa CJD u Japanu izmeu 2005. i 2014. godine'', napisali su.
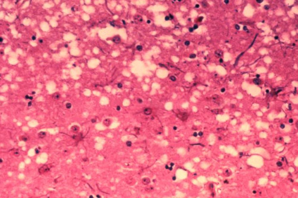
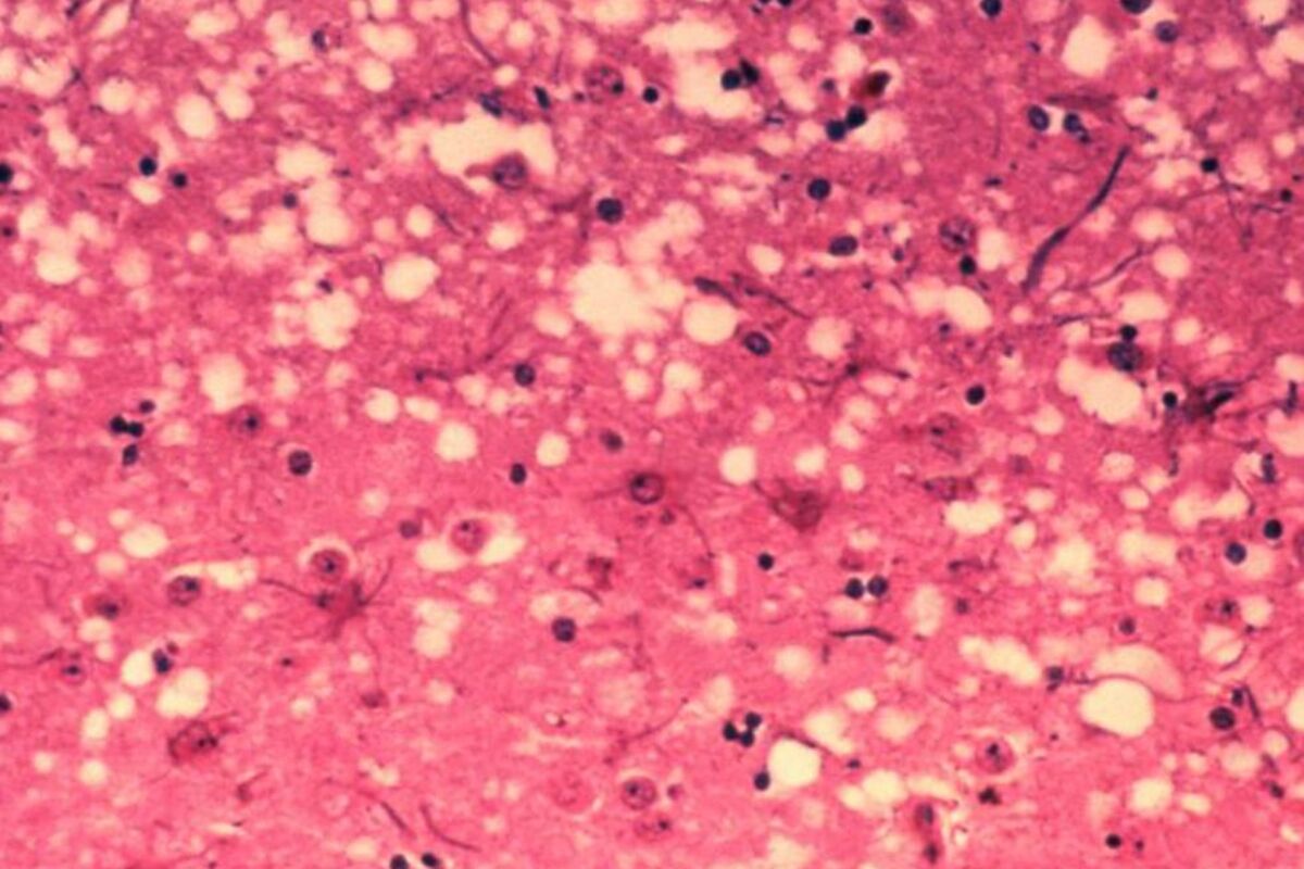
Prionske bolesti kao što je CJD uzrokovane su mutacijom gena. Ovi proteini imaju neobičnu sposobnost da konvertuju druge normalne prione tako da se presavijaju poput njih, sto pokreće jednu sporu kaskadu razaranja koja se širi mozgom i za sobom ostavlja karakterisične spužvaste mikroskopske rupe, koje se mogu videti u mozgu žrtve nakon smrti.
Simptomi poput demencije i gubika kontrole mišića mogu da se ne pojave godinama ili decenijama, u zavisnosti od bolesti, ali kada se pojave smrt sledi vrlo brzo. Do danas ne postoje adekvatni tretmani za lečenje pronskih bolesti, a stopa smrtnosti je 100 odsto od pojave simptoma.
Neke prionske bolesti su prenosive sa životinja na ljude. Osoba se može zaraziti nakon što bude izložena tkivu mozga ili organa kontaminiranim prionima (uključujući kanibalizam). Druge su nasledne, uzrokovane genetskim mutacijama zbog kojih se loši prioni pojavljuju u nekoj neodređenoj tački našeg života. Međutim, čini se da se u većini slučajeva prioni pojavljuju bez jasnog razloga i sporadično. CJD dolazi u sva tri oblika, ali je treći najčešći i čini 85 odsto slučajeva. Bez obzira na oblik, CJD je najrasprostranjenija prionska bolest kod ljudi.
Iako ne postoji jasan uzrok za većinu slučajeva CJD, godine se smatraju važnim faktorom rizika. Istraživanja su otkrila slične trendove i u drugim državama, uključujući i Sjedinjene Američke Države, ali je Japan poznat po tome što ima najstariju populaciju na svetu sa više od 20 odsto starijih od 65 godina, zbog čega su istraživači posebno zabrinuti.
Ove misteriozne bolesti biće najbrutalniji podsetnik na starenje stanovništva, kako u Japanu, tako i u drugim državama.
CJD i drugi oblici demencije neće uticati samo na ljude koji ih imaju, već i na njihove prodice i negovatelje koji će se truditi da tim ljudima pruže odgovarajuću negu. Ovi teški socio-ekonomski tereti zaslužuju pažnju političara i kreatora zakona i naglašavaju potrebu za akcionim planom sa posebnim fokusom na pripreme za suzbijanje povećanja demencije.
Bonus video:
(Espreso.co.rs/Gizmodo)
Uz Espreso aplikaciju nijedna druga vam neće trebati. Instalirajte i proverite zašto!




