evo šta utiče na rak
OVA LOŠA NAVIKA JE UZROK NAJVEĆEG BROJA TUMORA: Odmah prestanite da to radite, UPROPASTIĆETE SE!
Najviše je obolelih, a i kobnih slučajeva od karcinoma povezanih s uživanjem duvana
Čak 40 posto slučajeva karcinoma i isto toliko kobnih slučajeva od posledica ove bolesti moglo bi se izbeći kad bi se primenila odgovarajuća preventivna strategija, pokazali su rezultati istraživanja američkih naučnika objavljeni u medicinskom časopisu „CA: A Cancer Journal for Clinicians“.
Oko 42 posto svih slučajeva raka i 45,1 posto kobnih ishoda te bolesti moglo bi se sprečiti, tvrde autori studije utemeljene na podacima iz 2014. koja je sprovedena u Sjedinjenim Državama.
Najviše je obolelih, a i kobnih slučajeva od karcinoma povezanih s uživanjem duvana, odnosno s pušenjem: reč je o 19 posto slučajeva, prenosi Večernji.hr
Gojaznost je na drugom mestu, daleko iza uživanja u duvanu, ali ipak sa 7,8 posto slučajeva rezultira razvojem karcinoma, a postotak kobnih slučajeva je 6,5. Na trećem mestu je alkoholizam koji utiče na razvoj raka u 5,6 posto slučajeva i za posledicu ima kobni ishod u četiri posto slučajeva.
Na četvrtom mestu je preterano izlaganje ultraljubičastim zracima – utiče na razvoj raka u 4,7 posto slučajeva. Sledi fizička neaktivnost koja razvojem raka rezultira u 2,9 posto slučajeva.
Zbog nedovoljne konzumacije voća i povrća rak se može razviti u 1,9 posto stanovništva, a rezultira kobnim slučajem u 2,7 posto slučajeva, dok infekcija papiloma virusom rezultira razvojem raka u 1,8 posto slučajeva.
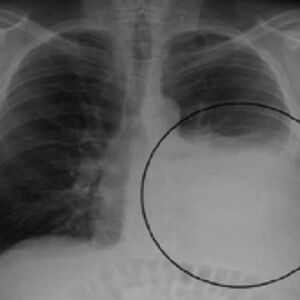
Rak pluća je najčešća vrsta raka, a u 81,7 posto slučajeva uzročnik je pušenje. Ono se povezuje sa 73,8 posto slučajeva raka grkljana, 50 posto raka jednjaka i 46,9 posto raka bešike.
Bonus video:
(Espreso.co.rs/Novi.ba)
Uz Espreso aplikaciju nijedna druga vam neće trebati. Instalirajte i proverite zašto!




